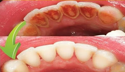
Los dentistas no quieren que esta receta salga a la luz. Pues es uno de los método más rápido y seguro para blanquear los dientes sin gastar dinero.
Uno de los deseos más grandes tanto de hombres y mujeres es lucir una sonrisa hermosa blanca y radiante.
Ya que esto es sinónimo de bienestar, como también es una carta de presentación de la personalidad de una persona, para muchos tener una dentadura descuidada es sinónimo de vergüenza y problemas psicológicos que llevan a muchas personas a tener muy poco cuidado con su higiene personal.
Para conseguir una perfecta y totalmente blanca debes pasar por los principios básicos de la higiene dental. Es decir lavar los dientes después de cada comida es decir al menos tres veces al día. Por otro lado para disminuir las manchas en los dientes:
Debe evitar los alimentos y bebidas que las causan como:
El vino tinto, arándanos, café, regaliz negro y uno de los más importantes que debe erradicarse es el tabaquismo, ya que la acción de fumar puede cambiar la tonalidad de los dientes de blanco a amarillo enfermizo.
Sí eres de las personas que les encanta disfrutar del café diariamente o vasos de vino, pero quieres conservar una sonrisa más blanca, pero sin el uso de tóxicos peróxido de hidrógeno o complejos tratamientos como el láser. Existen excelentes remedios y tratamientos naturales que logran blanquear de manera natural los dientes, Sí los añades a tu rutina diaria de cepillado de dientes.
El blanqueador de dientes que los dentistas no quieren mencionar:
Como te mencionamos anteriormente existen diversos tratamientos naturales que pueden ayudarte a tener unos dientes más blancos. Uno de ellos es el vinagre de manzana, el cual es un producto natural sorprendente que se puede utilizar para muchas cosas gracias a sus potentes propiedades curativas. Uno de sus usos efectivos es el de blanqueador de dientes.
El vinagre de manzana es una bebida alcalinizante principalmente por las sustancias ácidas que contiene que le confieren un sabor bastante ácido. Es por ello que también se considera un excelente tratamiento para blanquear tus dientes.
Para utilizar este tratamiento basado en vinagre y lograr una sonrisa perfecta solo necesitarás diluir el vinagre de manzana con agua, aproximadamente media cucharadita de vinagre de manzana en una taza de agua. El procedimiento es muy sencillo solo debes hacer gárgaras por la mañana y luego cepillar como de costumbre después de hacer gárgaras.
El siguiente video les ayudará a hacer una pasta de dientes casera para blanquear sus dientes:
Para recibir mas recetas, tips de belleza y videos de salud suscribase a nuestro canal.

No hay comentarios:
Publicar un comentario